Investigando el Comportamiento de la Luz en la Pieza Dentaria
Autor: Álvaro Heller
- Docente de la Escuela de Perfeccionamiento (Post Grado) Odontología Restauradora, Asociación Brasilera de Odontología, Porto Alegre, Brasil.
- Docente del Diplomado de Estética e Integrante del Consejo Asesor Superior Internacional de la Academia de Estética y Cosmética Dento-Facial de Chile.
- Profesor e Integrante del Consejo Asesor Internacional de la Academia Internacional de Odontología Integral (AIOI).
Resumen:
El «Halo oscuro» que se presenta en el esmalte adyacente a muchas restauraciones clases III y IV, es un elemento antiestético no deseado y de muy difícil control. En este artículo se estudian sus causas, y se proponen soluciones clínicas. El comportamiento de la luz puede ser manejado por un “Espejo Interno” hecho con un tono de resina compuesta blanco opaco, y por una elección correcta del tono de esmalte, buscando suficiente difusión de la luz. Otro concepto nuevo es el del «Equilibrado de la Intensidad» para lo cual se utilizan por lo general tonos de dentina intensivos.
Palabras Clave:
Halo Oscuro, Interferencia de la Luz, Equilibrado de la Intensidad, Estética.
Abstract:
The “Dark Halo” takes place on Enamel close to Class III and IV. This esthetic problem is very hard to control or avoid. In this article we study the causes, and we propose some clinical solutions. Light behavior could be managed by an “Internal Mirror” made with a white, opaque resin shade, and by a precise enamel shade choosing, looking for enough diffusion. Other new concept is “Balancing Chroma”, using dentin intensive shades.
Introducción:
Para poder ser eficaces en odontología restauradora y conseguir resultados estéticos, se deben conocer y dominar múltiples aspectos. Entre ellos, tiene especial importancia el conocimiento y manejo del comportamiento de la luz. (Preston, 1980)
El comportamiento de la luz presenta varios temas a estudiar.
Entre estos se encuentran:
1) Los conocidos bajo el nombre “Lenguaje del Color”: valor, tinte e intensidad.
2) Los vinculados al pasaje de la luz a través de un cuerpo: transparencia, translucidez y opacidad.
3) La opalescencia y la difusión de la luz.
4) La fluorescencia.
(Shärer, Rinn, Kopp, 1991)
El estudio, el entendimiento, la aplicación y finalmente la real comprensión del papel que juegan cada una de estas propiedades, harán que se logren restauraciones más precisas en cuanto a su comportamiento óptico. (Goldstein, 1998)
Existen otros elementos a tener en cuenta, que son de mucha importancia, tales como la textura, el brillo, las zonas de reflexión, las anatomías (en todos sus niveles) y la función. (Magne, Belser, 2002)
Complementando todos los aspectos ya enumerados es necesario analizar la interferencia destructiva de la luz.
Un problema clínico que se presenta es el «Halo Oscuro» que acompaña muchas veces a las restauraciones de Clases III y IV realizadas en resina compuesta. Este Halo no deseado se puede observar sobre el esmalte inmediato a esas restauraciones, en algunas o varias Incidencias (por lo general no en todas).
Una de las soluciones más comunes que se intentan es biselar o re-biselar el borde cavitario, con la nefasta consecuencia de que el «Halo Oscuro», en lugar de desaparecer, se sitúa más allá del bisel, en la misma posición adyacente al material restaurador.
Se ha buscado en las propiedades de la luz, aquellas que nos dieran por resultado sombra en un cuerpo iluminado, siempre guiados por conceptos en la materia básica: la Física, y dentro de ésta, la Óptica.
Hasta el siglo XVII, los hombres de ciencia, creían que la luz era de naturaleza corpuscular. El holandés Huygens demostró en 1670 que la reflexión y la refracción de la luz podían explicarse satisfactoriamente adoptando otra base: la luz como ondas. (Holton & Brush, 1973)
En 1827 los experimentos de Young y Fresnel sobre interferencia y difracción mostraban que la teoría corpuscular no era correcta, en la medida que no se podía dar una explicación satisfactoria de ambos. A partir de entonces, la teoría ondulatoria fue ganando la aceptación general que hoy tiene, ya que permite explicar todos los fenómenos ópticos (con la sola excepción del fenómeno fotoeléctrico).
La onda de luz es electromagnética: un campo eléctrico E y un campo magnético H variables, perpendiculares entre sí, cuya representación más conocida es la de la figura 1, en la que vemos “congelados”, en un instante dado, los valores de ambos campos para los diversos puntos del rayo. Un rayo de luz es un concepto irrealizable en la práctica; es más adecuado hablar de haz: un conjunto de rayos forman un haz. (Tipler, 2003)

Figura 1: Onda de luz con sus dos campos.
Es indudable que todos los fenómenos vinculados a la luz que el odontólogo observa en las piezas dentales y en los materiales de reconstrucción caen dentro del dominio de la física y en particular son regidos por las leyes de la Óptica.
La gran diferencia entre los temas tratados en los textos de óptica, aún los avanzados, y las realidades a las que el odontólogo se enfrenta, está en la complejidad de la estructura dentaria, frente a las relativamente simples estructuras que se proponen en los textos para el estudio de los diversos fenómenos.
Esa complejidad natural de la estructura dentaria, varía también en los distintos pacientes, momentos de la vida, función a la que se ve sometida la pieza dentaria, e incluso dentro de la misma pieza se encuentran diferencias de comportamiento de la luz. A esto se agregan los diferentes materiales restauradores, con sus variantes de localización, tamaños, capas, y propiedades intrínsecas.
Un intenso estudio de la óptica, unido a un conocimiento claro de las características y propiedades -especialmente ópticas- de la estructura dental, así como de los materiales restauradores, nos llevaría a tener una cabal comprensión de los principios básicos y de los conceptos que emanan de aquellos, para desarrollar técnicas que logren lo más perfectamente posible los resultados anhelados. (Touatí, Miara & Nathanson, 1999)
Buscar las causas y sus explicaciones en todos los puntos que relacionan la Odontología con la Óptica, significa un esfuerzo que supera las posibilidades del clínico: queda reservado a los investigadores.
No obstante, se darán breves aportes teóricos en cada uno de los temas o puntos que, a juicio del autor, puedan significar una mejora en la comprensión de los mismos desde el punto de vista físico.
La complejidad del tema excede el objetivo de dar una información mínima acerca de aquellos puntos de la Óptica que están presentes, lo sepamos o no, en el complejo sistema que es la pieza dental, sin restauraciones o con ellas. La intención es incitar al estudio más profundo, antes que dar soluciones, que muchas veces no son seguras.
Desde el punto de vista clínico se aborda un problema que se presenta con frecuencia en la clínica: el llamado “Halo Oscuro” adyacente a una restauración de Clase III o IV realizada en un material estético directo (por lo general: resina compuesta). Para ello se busca entender las causas que lo producen, y más allá, se proponen técnicas clínicas para evitarlos, consiguiendo el nivel estético deseado. Comprobar la eficacia de estas técnicas no es campo del investigador: queda reservado a los clínicos.
La Interferencia Destructiva de la Luz
La aceptación en el Siglo XIX de la Teoría Ondulatoria trajo explicaciones a hechos observables: los fenómenos de interferencia y difracción.
Se define la «interferencia» como la superposición de dos ondas en un punto.
Esta superposición produce una figura o diagrama interferencial fácilmente observable con las ondas producidas en la superficie del agua quieta –un buen modelo de estudio– pero más difícil de lograr con luz. La condición fundamental a cumplir es que ambas ondas mantengan una diferencia de fase constante en el tiempo, o sea que se trabaje con ondas coherentes. Cuando esto se logra, la interferencia puede mostrarnos, ya un reforzamiento, ya un debilitamiento de los haces de luz, conocidos como interferencia constructiva y destructiva respectivamente. (Bruhat, 2005)
En la constructiva coinciden crestas y valles de una onda (en azul) con los de la otra (en verde), provocando un aumento de la amplitud (altura), que en luz se traduce como más intensidad luminosa (en rojo).

Figura 2: interferencia constructiva.
En la interferencia destructiva coinciden crestas de una con valles de otra, o sea que marchando juntas, provocarán la anulación del fenómeno vibratorio: no hay onda resultante, o sea, no hay luz.

Figura 3: interferencia destructiva
Esta explicación requiere de ciertas condiciones, entre ellas que los rayos tengan igual longitud de onda (representada por la letra griega lambda λ), lo que supone trabajar con luz de un solo color.

Figura 4: esquema de una onda de luz.

Figura 5: esquema de dos ondas de luz, interfiriéndose una con la otra.
Sin embargo, en el trabajo diario, la luz es blanca; por tanto es una mezcla de diferentes λ. Es entonces que encontraremos puntos donde interferirán destructivamente los rayos de determinada λ (o menos estrictamente, de cierto ámbito de longitudes de onda).
La interferencia destructiva con luz blanca se da por tintes (“colores”) o al menos por grupos de tintes. Donde interfieran destructivamente las λ largas de los rayos rojos, el tinte de la luz resultante será azulado, y viceversa. (Sears & Zemansky, 1999)
En la medida que los puntos de interferencia para los diferentes tintes estén separados, las bandas de interferencia aparecerán más definidas y coloreadas (tal como ocurre en los charcos de aceite en la calle –que tienen una fina película de aceite en su superficie: y como resultado se ven colores-)
Por el contrario, en la medida que los puntos de interferencia para los diferentes tintes estén juntos, las bandas de interferencia aparecerán más oscuras. (Bruhat, 2005)
Este es el caso de las piezas dentarias. Se distingue un «Halo Oscuro» en el que, si miramos con mayor precisiónm veremos diferencias -leves- de tinte.
Es importante precisar que la palabra “oscuro” con la que comúnmente hacemos referencia a ese efecto indeseado luego de restaurar la pieza dentaria, es la sumatoria de interferencias provocadas en puntos muy cercanos.

Figura 6: ángulo de incidencia: parte de la luz se refleja, y otra parte penetra en las estructuras dentarias mostrando el ángulo de refracción.

Figura 7: incidencia del haz de luz con ángulo muy pequeño.

Figura 8: incidencia del haz de luz. Le llega luz al observador, en esta incidencia no se ve interferencia destructiva.
Clínicamente, ese «Halo» antiestético, no se aprecia desde todos los ángulos en que el observador se coloque. Es decir que juega un papel fundamental el eje de incidencia del rayo (o de los rayos: el haz).
La figura 7, con un ángulo de incidencia muy bajo, podría orientarnos hacia una explicación de interferencia destructiva con luz blanca: la interferencia por reflexión, a semejanza de lo que ocurre en el estudio del “Espejo de Lloyd”. (Bruhat, 2005)
Si bien pudiera explicar algunos casos de este fenómeno, es fácilmente comprensible que:
1) Vemos el «Halo» con incidencias cercanas a los 90º.
2) La superficie de la pieza dentaria es curva.
3) El “oscuro” no es gris o negro, sino que presenta tintes.
Cualquiera de estos elementos descarta esta teoría, al menos para explicar la mayor parte del fenómeno.
Si el paciente presenta un «Halo Oscuro», éste cambia de acuerdo con el eje de incidencia de la luz, cobrando mayor destaque o disminuyendo su presencia.
Factores que Inciden en la Aparición del Halo Oscuro

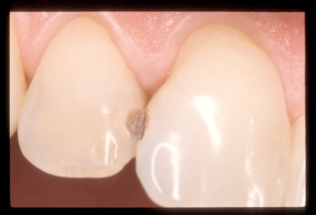
Figura 9: resina compuesta clase III. Se ve el halo oscuro.

Figura 10: otro caso en que se presenta el halo oscuro adyacente a la resina compuesta clase III.
Observemos esta secuencia en modelos:

Figura 11: fractura de un ángulo: clase IV.

Figura 12: restauración con material estético directo (suponemos una resina compuesta): se presenta el halo.

Figura 13: se realiza un corte para estudiar mejor el fenómeno.

Figura 14: al colocar la resina compuesta directa (¡y no antes!!!) aparece la sombra en el esmalte vestibular (el «Halo Oscuro»).

Figura 15: los rayos de luz se pierden hacia palatino, a través de la resina compuesta (como es natural). Se ve una separación entre la resina compuesta y la estructura dentaria: corresponde al adhesivo.

Figura 16: un rayo refleja en la superficie interna de la resina. (Los rayos incidentes se han dibujado rectos para simplificar el dibujo, y los reflejados como ondas para comprender el problema).

Figura 17: un segundo rayo, paralelo al anterior, refleja en la superficie externa del esmalte, interfiriéndose con el anterior. Se crea la causa y se instala el «Halo» (zona sombreada sobre el esmalte vestibular).
Se podría hacer un desarrollo con vectores que representen el rayo incidente y los rayos reflejados, y ver con claridad que ambos reflejados recorren caminos de diferente longitud. Si a consecuencia de esta diferencia de marcha se produce entre ambos rayos un desfasaje de media λ (o 1.5 λ), es decir que la “cresta” de uno coincide con el “valle” del otro, habrá en esa dirección una interferencia destructiva y no habrá luz.
Para otras direcciones de rayos emergentes, que corresponden a otro rayo incidente (más o menos inclinado) las diferencias de marcha cambiarán y habrá pues otros resultados: se interferirán otros tintes (de mayor o menor λ), o pudiera no existir interferencia en otros puntos. Esto se puede comprobar pidiéndole al paciente que gire su cabeza, para observar varias incidencias.
Se comprende fácilmente que además del ángulo de incidencia, interviene el espesor del adhesivo y su índice de refracción.
El hecho de que la lámina de adhesivo tenga un espesor constante o no, no modifica nuestro razonamiento: la interferencia se producirá para cierto espesor, y si éste varía, también variará el ángulo bajo el cual vemos la interferencia de algún tinte o varios.
Soluciones Clínicas que Permiten Evitar el Halo

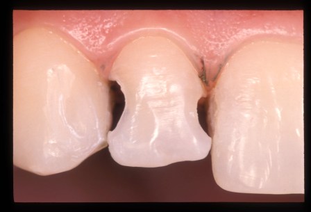
Figura 18: cavidad clase III.

Figura 19: resina compuesta clase III. No se ve el halo oscuro.
¿Es posible eliminar la Interferencia Destructiva de la Luz?
La respuesta es contundente: no. No se puede ejercer influencia alguna sobre las ondas de la luz en el medio bucal o dentario para evitar que el fenómeno negativo se presente.
Sin embargo, es posible buscar otro mecanismo de acción.

Figura 20: cavidades clase III.

Figura 21: resinas compuestas en las cavidades de clase III.
No se ve el halo oscuro.
Se analiza el siguiente procedimiento:
a) Se coloca un “espejo” en la parte central de la restauración, paralelo al contorno vestibular final. Este “espejo” se propone a efectos de recuperar la luz que normalmente sigue hacia palatino. Se realiza con un «bloqueador de luz» (resina altamente opaca y blanca). Se recomienda no ubicarla en palatino, salvo en excepciones como piezas extremadamente finas.

Figura 22.
b) Luego de la colocación de un «opacador blanco», es necesario realizar el “Equilibrado de la Intensidad”. Si se colocara dentina directamente, el valor y la intensidad final variarían (subiría el valor y bajaría la intensidad). Esto se logra mejor con intensivos en delgadísimas capas (A5, A6, B5, etc.), ayudándonos por ejemplo con un condensador.

Figura 23.
c) Si existe espacio suficiente, se completa la parte dentinaria con tonos de dentina A1, A2, A3, A3.5, A4, B1, B2, etc. La regla que se debe respetar es: colocar tonos de dentina en la zona de dentina y tonos de esmalte en la zona de esmalte. Esto alcanza a todos los casos, sea cual sea la restauración.

Figura 24.
d) Para la reconstrucción del esmalte el material debe ser muy bien elegido: es muy importante saber diferenciar esmaltes translúcidos de esmaltes opalescentes (y en algunos casos es útil hacer uso de transparentes, e inclusive de iridiscentes).

Figura 25.
Los materiales de reconstrucción tienen propiedades que son mensurables y que se relacionan entre sí y con la radiación que incide sobre ellas por la siguiente ecuación:
(Catalá, 1979)
-ΔΦ = Ka.Φ.Δl
Siendo Φ (Phi) el flujo de energía medido en W (Watt) (a pesar de no ser el Watt estrictamente una unidad de energía, sino de potencia), ΔΦ (Delta Phi) es la variación que sufre la energía al atravesar la capa de material, cuyo espesor está representado por Δl (medido en m). Finalmente, Ka es una constante cuyo valor depende exclusivamente del material: es el llamado coeficiente de absorción, y su dimensión corresponde a la inversa de una longitud, como lo exige la homogeneidad de la ecuación (se mide en 1/m).
El inverso de Ka es Kt coeficiente que expresa la transparencia del material.
Es éste un camino conceptual simple, que elude las complicaciones que el tema presenta en otros niveles de estudio, y nos da una base al concepto de pasaje de la luz (sea, transparencia, translucidez, y opacidad).
(Born & Wolf, 1999)
Yendo un poco más allá, los medios materiales producen una disminución de la energía transportada por las ondas, que se transforma parcialmente en otras formas de energía, o es absorbida por los átomos del material, que inmediatamente vuelven a emitir en distintas direcciones, laterales respecto de la dirección inicial incidente: este fenómeno es conocido como difusión. (Novotny & Hecht, 2006)
Es en este concepto de absorción y emisión por parte de los átomos, donde se encuentran las bases para el concepto de opalescencia.
Se debe determinar qué tipo de esmalte tiene la pieza dentaria en cada zona del borde cavitario, y así efectuar una correcta selección.
Se busca iluminar la zona con interferencia destructiva. Para ello será necesario auxiliarse con un esmalte de alta difusión.
Se trata entonces, de llevar hacia la zona “oscura” la luz que llega a la restauración: esto lo hacemos con un «Esmalte Difusor» (nos permitimos sugerir utilizar un «Opalescente» de buena difusión, pero que no eleve mucho el «Valor», ya que por esa característica, muchos de los haces de luz reflejan más que en uno neutral o en uno que baje el valor).
El «Esmalte Difusor» más el “Espejo” del «Opaco Blanco» impiden que se logre ver la Interferencia (que sigue estando, pero de la cual no se ve su manifestación)

Figura 26: el haz de luz, que originariamente continuaba su trayecto hacia palatino, regresa ahora hacia la zona a iluminar.

Figura 27: el esmalte difusor guia haces de luz hacia el esmalte adyacente.
Referencias
- Born M, Wolf E (1999) Principles of Optics: Electromagnetic Theory of Propagation, Interference and Diffraction of Light, 7th ed.
- Bruhat G (2005) Optique, 6me. ed., cap. 4, 6, 7 & 8.
- Catalá J (1979) Física General, cap. 26, p.414
- Goldstein R (1998) Esthetics in Dentistry, 2nd ed., ch 10.
- Hecht E (2001) Optics, 4th ed., ch.7
- Holton G, Brush S (1973) Introduction to Concepts and Theories in Physical Science, ch. 23.
- Magne P, Belser U (2002) Bonded Porcelain Restoration in the Anterior Dentition. A Biomimetic Approach, ch. 1.
- Novotny L, Hecht B (2006) Principles of Nano-Optics, ch. 3 & 8.
- Preston JD (1980) Color Science and Dental Art.
- Sears F, Zemansky M (1999) University Physics, 10th ed., ch. 10.
- Shärer P, Rinn LA, Kopp FR (1991) Principios Estéticos en la Odontología Retaurativa, cap. 1.
- Tipler P (2003) Physics for Scientists and Engineers, 6th ed., ch. 26.
- Touatí B, Miara P, Nathanson D (1999) Esthetic Dentistry and Ceramic Restorations, ch. 4 & 5.
O
![]()
Actas Odontológicas Vol IV Número 2, Julio-Diciembre 2007.
Publicado con autorización de la Facultad de Odontología de la Universidad Católica.
Se han agregado más fotos proporcionadas por el autor.






Buenas, que tal?
Que material se usa entonces como «espejo», el blanco opaco? Que resina? Gracias!
Hola Florencia,
En este caso se utiliza el tono Opaque White (blanco opaco) de la resina Vit-l-escence: https://vkimport.com/productos/resinas/sistema-de-composite-estetico-vit-l-escence/
También puedes utilizar tono WD (blanco dentina) de resina FORMA: https://vkimport.com/productos/resinas/resina-compuesta-nanohibrida-forma/
Saludos cordiales
Excelente artículo! La resina que funciona como esmalte difusor viene con esa característica específica? Que marca de blanco opaco recomienda?
Estimada Noel, manejamos y recomendamos el tono OW de Vit-l-escence o el tono WD de FORMA, ambas resinas compuestas son de Ultradent.
Saludos cordiales
Súper Bueno!
Que bueno que haya sido de tu interés Jossy.
Saludos!
Excelente artículo, muy ilustrativo
Gracias por tu comentario Luis, me alegra que lo disfrutaras.
saludos!