
Un sistema de carillas innovador y exclusivo que crea carillas de composite modeladas y pulidas – tecnología de punta para la Odontología Avanzada y Mínimamente Invasiva.
Un odontólogo puede utilizar Uveneer:
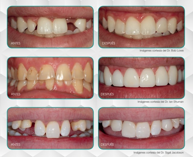
- para todas las carillas de composite, para uno o múltiples dientes y también para crear provisionales entre citas, sean carillas o coronas, mientras se fabrican las definitivas de porcelana en el laboratorio.
- para mostrar al paciente mediante mock-ups directos en el sillón odontológico y previo a la realización del procedimiento, cómo puede verse el resultado final.
- para comunicación con técnicos laboratoristas y ortodoncistas.

¿Cómo funciona Uveneer™?
Se presiona una plantilla translúcida sobre el composite que se ha colocado sobre el diente. La plantilla se retira después de que el material polimerizó. Es sencilla de manipular, tiene superficie antiadherente, es autoclavable y por ende, reutilizable. Ahora es posible para cualquier dentista fabricar carillas de composite en forma consistente y económica, predecibles tanto en su forma final como en el diseño de la sonrisa. Uveneer™ crea carillas de composite que tienen el contorno y el brillo de los dientes naturales mientras ahorran tiempo y esfuerzo – ¡no más modelado y pulido!
Uveneer™ es un sistema que:
- puede ser utilizado con cualquier composite de preferencia.
- produce resultados consistentes, predecibles y perfectos en lo que respecta a la forma final del diente, brillo y diseño de la sonrisa.
- es sencillo de utilizar.
- puede mejorar significativamente la productividad de la clínica.
- ahorra tiempo – no requiere que se utilice tiempo en modelar y pulir.
- requiere preparación mínima.
- es económico.
¿Cuándo utilizar Uveneer™?
- para todas las aplicaciones de carillas de composite, para uno o múltiples dientes, para corregir diastemas, fracturas, abrasiones, dientes decolorados o mal posicionados, restaurar caries y otras correcciones estéticas.
- para la creación de carillas provisionales entre citas mientras se fabrican las de porcelana en el laboratorio.
- para mock-ups directos en el sillón odontológico, previo a la realización del procedimiento.

El Set de Plantillas Uveneer™ consiste de:
32 plantillas: 16 plantillas medianas y 16 plantillas grandes.
Tanto las plantillas medianas como las grandes incluyen dos incisivos centrales, dos incisivos laterales, dos caninos y dos premolares, tanto para la arcada superior como para la inferior.
Por más información consúltenos.







