La Importancia del Autoexamen de Cancer Oral
Lo ideal es que el examen de cancer oral y su detección sea efectuado regularmente por su dentista. Los pacientes también pueden efectuar este autoexamen entre visitas al dentista para controlar cualquier signo temprano de cancer oral. Si Ud. está preocupado por cualquier hallazgo, vea a su dentista de inmediato para obtener una evaluación.
Autoexamen:

Presione a lo largo de los lados y en la parte frontal del cuello y sienta si hay durezas o bultos. Haga lo mismo en su cara. Normalmente, su cara y su cuello son simétricos, de modo que es posible notar cualquier abultamiento o hinchazón.

Estire su labio superior y revise si hay lastimaduras o cambios de color en sus labios y encías. Repita este procedimiento en su labio inferior.

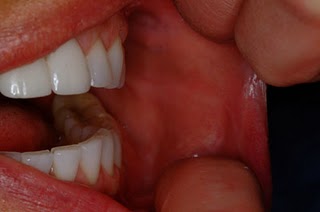
Utilice sus dedos para estirar sus mejillas hacia afuera y mirar por cambios de color como ser zonas rojas, blancas u oscuras. Coloque su dedo índice en el interior de la mejilla y el pulgar en la zona exterior de la misma para sentir si hay bultos. Repita en la otra mejilla.

Incline su cabeza hacia atrás y abra bien la boca para ver si hay bultos o cambios de color.

Tome su lengua con una gasa y examínela para ver si tiene protuberancias o cambios de color. Mire la punta, la parte trasera y cada uno de los lados de su lengua.

Toque el paladar con la lengua y mire la parte de abajo de la misma y el piso de su boca. Vea si hay cambios de color o protuberancias. Utilice un dedo dentro de su boca y uno por la parte exterior de la misma zona y sienta si hay bultos inusuales, hinchazón o durezas. Importante: Esta guía fotográfica no pretende sustituír un examen y detección dental a fondo realizada por un dentista y sólo se ofrece como guía. Oralcancerselfexam.com y VK Import Ltda. no asumen responsabilidad por la detección de cáncer oral ni por el examen efectuado por quienes utilicen esta guía.
Publicado y traducido con autorización de / Published & translated with authorization from
David Malcmacher
Chief Operating Officer, American Academy of Facial Esthetics
Artículo original / Original source: http://www.oralcancerselfexam.com/





Hola quería saber porque me sale cómo pocitos en la boca cuando estiró mí cachete duele
Buenas tardes Micasalinas, por favor dirige tu consulta a tu odontólogo o centro médico, ellos sabrán ayudarte.
Saludos
Quisiera saber porque salen o porque me salieron unas granitos debajo de la lengua, creo se llama frenillo en donde me salió es muy molesto para mi me duele 🥺
Estimada Ana, te hemos enviado un mail.
Saludos cordiales.