OpalDam y OpalDam Green – Barreras Gingivales de Resina

Dique de Goma Químico – Reflectivo

1. Proceso de aislación

1. Retire la tapa y enrosque firmemente una punta Black Micro o Black Mini en la jeringa de OpalDam/OpalDam Green.
2. Coloque retractores de mejilla de plástico de auto sostén. Enjuague y seque totalmente los dientes, prestando especial atención al tercio gingival.
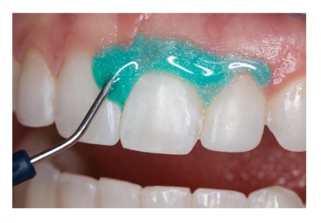
3. Coloque la resina OpalDam/OpalDam Green formando una barrera protectora de 4 a 6mm de ancho por 1,5 a 2mm de espesor a la altura de la encía, montándola unos 0,5mm por encima del esmalte (Fig. 1). Si dispensa demasiada resina sobre el esmalte, “fíjela” fotocurando 5s y luego recorte el exceso con un instrumento de mano. Extienda la resina hasta un diente más allá del último diente a ser blanqueado (Fig. 2). Si existen espacios abiertos, dispense resina a través de los mismos hasta que sobresalga por lingual, rellenándolos por completo. Esto protegerá las papilas y el tejido gingival por lingual. Los botones de resina que se extienden a través de espacios gingivales le proporcionan mayor retención a la barrera OpalDam/OpalDam Green.

Fig. 1:  Aplique una barrera de 4-6mm de espesor de OpalDam/OpalDam Green  sobre la encía. Selle los espacios interproximales. Monte la resina aproximadamente 0,5mm  sobre el esmalte seco para sellar.

Fig. 1: Aplique una barrera de 4-6mm de espesor de OpalDam/OpalDam Green sobre la encía. Selle los espacios interproximales. Monte la resina aproximadamente 0,5mm sobre el esmalte seco para sellar.

Fig. 2: Extienda la resina hasta un diente más allá del último diente a ser blanqueado. Controle visualmente que todos los tejidos gingivales en el margen de la resina estén cubiertos y que se haya establecido un sello efectivo.

Fig. 2: Extienda la resina hasta un diente más allá del último diente a ser blanqueado. Controle visualmente que todos los tejidos gingivales en el margen de la resina estén cubiertos y que se haya establecido un sello efectivo.

Fig. 3: Fotocure la resina 20 segundos por ancho de guía. Note las propiedades reflectivas de OpalDam/OpalDam Green.

Fig. 3: Fotocure la resina 20 segundos por ancho de guía. Note las propiedades reflectivas de OpalDam/OpalDam Green.

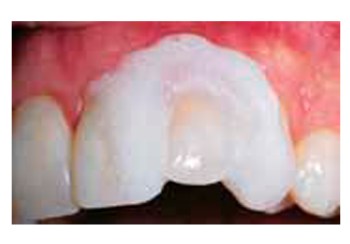
Fig. 4:  Después de fotocurada, OpalDam/OpalDam Green se remueve rápida y fácilmente en uno o varios trozos grandes. Controle interproximalmente que no haya resina retenida. OpalDam/OpalDam Green está diseñada para removerse fácilmente de zonas retentivas y espacios.

Fig. 4: Después de fotocurada, OpalDam/OpalDam Green se remueve rápida y fácilmente en uno o varios trozos grandes. Controle interproximalmente que no haya resina retenida. OpalDam/OpalDam Green está diseñada para removerse fácilmente de zonas retentivas y espacios.

4. Después de aplicada la barrera de resina, fotocúrela con una lámpara de calidad durante 20s por ancho de guía (Fig. 3). Limpie los dientes con pasta de profilaxis para remover cualquier exceso de resina, pero tenga cuidado de no aflojar la barrera de OpalDam/OpalDam Green fotocurada.
5. OpalDam/OpalDam Green es perfecta para blanqueamientos de arcada completa. Coloque un IsoBlock® e instruya al paciente para que lo mantenga en su lugar mordiendo en forma suave pero firme. Coloque rollos de algodón por vestibular.

NOTA: Al aislar la arcada mandibular, utilice un eyector y rollos de algodón en la zona sublingual para que la saliva no se filtre por las zonas interdentales de los dientes anteriores. Dispense OpalDam/OpalDam Green a través de los espacios, papilas y encía adyacentes. Fotocure 20 segundos por ancho de guía.

NOTA: Si las áreas críticas (márgenes gingivales y espacios abiertos) han sido cubiertas utilizando la punta Black Micro, puede utilizarse una punta Black Mini (mayor calibre) para cubrir más rápidamente áreas extensas de la mucosa oral.

2. Remoción y Limpieza:

1. Después de aspirar a fondo el gel de blanqueamiento y de enjuaguar los dientes concienzudamente, levante la barrera de OpalDam/OpalDam Green de la superficie utilizando un explorador o un instrumento. Será posible removerla casi toda, o en grandes trozos, de una sola vez (Fig. 4).
2. Remueva OpalDam/OpalDam Green de zonas interproximales utilizando un explorador o hilo dental. Enjuague nuevamente con la jeringa triple.

Precauciones:

  1. Sólo para uso profesional. Lea las instrucciones, precauciones y MSDS antes de comenzar el tratamiento. Utilice sólo como se indica.
  2. Mantenga el producto lejos del calor/luz solar.
  3. Evite el contacto de las resinas sin polimerizar con la piel. Mantenga los productos químicos fuertes limitados dentro de la zona de tratamiento.
  4. Nunca fuerce los émbolos de las jeringas. Las puntas son descartables.
  5. Controle el flujo del material sobre una loseta o papel encerado para asegurar un flujo homogéneo antes del uso intraoral. De sentir resistencia, NO SIGA. Coloque una nueva punta y controle nuevamente antes de utilizar con el paciente.
  6. Utilice solamente lámparas de fotocurado de calidad cuando polimerice OpalDam/OpalDam Green.
  7. No utilice OpalDam/OpalDam Green en pacientes con sensibilidad conocida a las resinas, especialmente metacrilatos. De surgir una dermatitis, un sarpullido u otro tipo de reacción alérgica, lave la zona con abundante agua y envíe a su paciente al médico.
Fig. 5: Para blanqueamiento no vital, cubra aproximadamente la mitad de cada diente vital adyacente con una capa de 3-4mm de espesor de OpalDam/OpalDam Green para aislar dichos dientes de la incomodidad que produce el calor de la lámpara de fotocurado.

Fig. 5: Para blanqueamiento no vital, cubra aproximadamente la mitad de cada diente vital adyacente con una capa de 3-4mm de espesor de OpalDam/OpalDam Green para aislar dichos dientes de la incomodidad que produce el calor de la lámpara de fotocurado.

Fig. 6: Para blanqueamiento no vital (con endodoncia completada), abra la cámara pulpar. Aplique OpalDam/OpalDam Green sobre la encía por labial y lingual, dispensando también a través de espacios abiertos para asegurar un sellado y una barrera para la encía. Cubra los dientes adyacentes por lingual.

Fig. 6: Para blanqueamiento no vital (con endodoncia completada), abra la cámara pulpar. Aplique OpalDam/OpalDam Green sobre la encía por labial y lingual, dispensando también a través de espacios abiertos para asegurar un sellado y una barrera para la encía. Cubra los dientes adyacentes por lingual.


MSDS-OpalDam-01MSDS-OpalDamGreen-01

4 Responses to OpalDam y OpalDam Green – Barreras Gingivales de Resina

  1. Avatar de Belén Belén dice:

    Hola! Que precio tiene? Gracias!

  2. Avatar de ignacio rios ignacio rios dice:

    Hola se debe hacer el blanqueamiento en ambas arcadas a la vez o tiene que ser primero una y luego la otra. Digo esto por cuestion de tiempoz

    • Avatar de vkimport vkimport dice:

      Estimado Ignacio,
      No hay una regla en cuanto a esto y claro que si blanqueamos las dos arcadas a la vez el tratamiento será más rápido. Por lo general recomendamos a los profesionales que el blanqueamiento se haga una arcada a la vez para que el paciente puede ver el cambio y el contraste entre una y otra. Esto motiva al paciente a continuar con el tratamiento de la forma indicada por el profesional.
      Saludos cordiales.

Gracias por su comentario!