Paciente de sexo femenino J.M.B. de 24 años de edad, una de las 3 ganadoras del Primer Concurso de Opalescence Uruguay, beneficiaria de un blanqueamiento dental domiciliario bimaxilar.

Ingreso de la paciente al consultorio
Demuestra un gran entusiasmo por la oportunidad de blanquear sus dientes, ya que no se siente satisfecha con su color “amarillo”.
En la primera consulta, previa a la realización de un blanqueamiento dental, es muy importante efectuar un examen clínico completo de la boca en busca de caries, retracciones gingivales (sensibles o no), y desgastes dentarios, que de estar presentes, deberán resolverse previamente.
Ya que la paciente no presentaba patologías, se procedió directamente a la limpieza dental profesional (destinada a eliminar el sarro y las manchas externas de los dientes), y a la toma de impresiones de alginato de arcada completa para confeccionar las cubetas estampadas con reservorios.
Las cubetas fueron confeccionadas en VK Import ltda.
Un paso importante es realizar una toma del color de las piezas dentales de la paciente al comienzo del tratamiento. Es conveniente que nuestro paciente siempre participe en el registro del color inicial y que el tono se registre fotográficamente y por escrito. También es importante conversar con el paciente acerca del color que le gustaría lograr al final del tratamiento, para conocer sus expectativas y saber si podremos cumplirlas con el tratamiento. Este es un momento clave en el mismo.
Si bien no es estrictamente necesario, es recomendable comenzar por el blanqueamiento de una arcada (generalmente la superior) hasta lograr el resultado deseado por el paciente y el profesional y recién entonces blanquear la otra arcada. De esta forma resulta más fácil que el paciente observe los cambios “día a día”, dando lugar a una mayor motivación y por lo tanto, mejor cumplimiento del tratamiento.

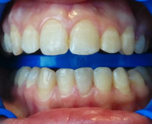
Imagen inicial. Se observan manchas blanquecinas y amarronadas, y textura rugosa del esmalte.

Imagen inicial. Sonrisa de la paciente

Registro inicial del color con colorímetro Opalescence.

Registro inicial del color con colorímetro Vita 3D Master
Color de base A2 con zonas de manchas color blanco opaco y manchas parduzcas cercanas al A3.
Una vez hecho esto, se prueban las cubetas en boca y se corrobora que su adaptación y extensión sean adecuadas. Es fundamental que el recorte de la cubeta sea perfecto, de modo que no cubra ni toque la encía o las papilas. Si esto sucediera, se debe recortar con una tijera (recomendamos UltraTrim).
Se instruye a la paciente para la correcta colocación del gel blanqueador en las caras vestibulares de la cubeta con reservorios así como en la remoción del gel e higiene de la cubeta.
Hecho esto, estamos en condiciones de comenzar el tratamiento. Se entregan la cubeta superior y 4 jeringas de Opalescence 10% para que la paciente haga una aplicación nocturna de 8-10 horas durante las siguientes 7 noches y se la cita para control en una semana.
En el control a la semana se observa que el tono ha aclarado muchísimo, pero se decide continuar 3 noches más. Se le entrega 1 jeringa más.

Blanqueamiento del maxilar superior.
En el siguiente control, vemos que se ha logrado el color deseado. La paciente está muy emocionada con el resultado obtenido.
Se entregan entonces la cubeta inferior y 3 jeringas más de Opalescence 10%.
Luego de haber hecho el blanqueamiento durante 7 noches, la paciente vuelve al consultorio para control. Se observó que al maxilar inferior le falta blanquear un poco para igualar el color del maxilar superior. Por otra parte, la paciente desea darle “un toque más de brillo” también al maxilar superior. Se le entregan 2 jeringas más de Opalescence 10% (tiene 1 sin uso porque los dientes inferiores son pequeños) y decidimos blanquear 2 noches más sólo el maxilar inferior y 2 noches ambos maxilares.

Ligera discrepancia del color entre el maxilar superior e inferior.

Maxilar inferior 1M 2.

Maxilar superior 1M 1.
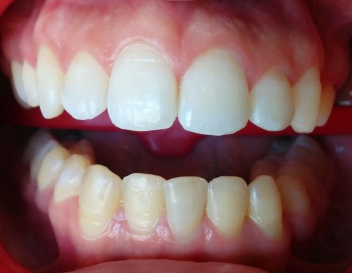
En el siguiente control, el color logrado es muy armónico.
Dado que la paciente presenta una superficie dental de esmalte levemente rugosa, decidimos hacer una ligerísima abrasión con la pasta de microabrasión Opalustre. Si bien la profundidad de algunas imperfecciones es demasiada para que la superficie quede homogénea, se logra una mejoría.

Textura rugosa del esmalte.

Imagen final. Luego de ligera abrasión con pasta Opalustre.

Imagen final
![]()



