Blanqueamiento de Decoloraciones Naranjas por Antibiótico

Paciente: (J.L.) de 25 años, sexo femenino (2013)

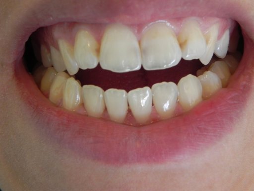
Foto 1 antes

Figura 1: La paciente tiene dientes bastante oscuros en general y manchas naranjas en los 4 incisivos superiores que pueden deberse a que – durante su niñez – utilizó antibióticos por importantes problemas infecciosos a nivel de garganta.

Se decide efectuar un tratamiento en todas las piezas con Opalescence 10% PF.

Foto 2 después de 4 jeringas de Opalescence

Figura 2: Resultado después de utilizar 4 jeringas (poca cantidad y muchas noches). Se observa una notoria mejoría. El tratamiento se acompañó con la pasta dental Opalescence que se incluye en el avío.

En citas subsiguientes se le dan primero 2 jeringas adicionales y posteriormente otras 2.

Foto 3 después de 8 jeringas de Opalescence

Figura 3: En total fueron 14 noches y se logró un resultado muy positivo.

Como aún quedan pequeños matices amarillos en la zona cervical, se indica insistir en forma localizada: 3 noches aplicando 15% exclusivamente donde aún quedan indicios de coloración naranja, y una noche final de aclaramiento en todas las piezas.

Foto 4 final

Figura 4: Se logró un resultado asombroso.
El Dr. Sbárbaro nos comenta: «Re-feliz la paciente (y yo)».

Este caso clínico se publica gracias a la gentileza del Dr. Augusto Sbárbaro.
Si Ud. desea comunicarse con el Dr. Sbárbaro por tratamientos, consultas o datos adicionales, comuníquese con nosotros y le proporcionaremos sus datos.

Si Ud. desea contribuir con un caso clínico, por favor, comuníquese con nosotros.

4 Responses to Blanqueamiento de Decoloraciones Naranjas por Antibiótico

  1. Avatar de Tigre Tigre dice:

    Yo lo usé y fue brutal. Para fumadores es ideal, otros me provocaron mucha sensibilidad pero este no. Cuando vuelva a Uruguay me lo hago de nuevo.

Gracias por su comentario!