Paciente de sexo femenino S.S. de 27 años de edad, segunda ganadora del Concurso de Opalescence Uruguay, beneficiaria de un blanqueamiento dental domiciliario bimaxilar.

Ingreso de la paciente al consultorio.
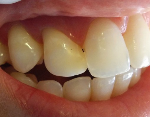
Examen clínico: se observa una boca sana, con poco sarro y sin placa bacteriana. Presenta agenesia de incisivos laterales superiores. Ha recibido tratamiento de ortodoncia para llevar los caninos a posición de laterales, a los que se les ha dado la forma anatómica de incisivos laterales agregando resina compuesta (abarca casi la totalidad de la cara V). Las resinas presentan márgenes ligeramente desbordantes en proximal, pero sin filtración marginal y se encuentran pigmentadas en un tono más amarillo que los incisivos centrales de la paciente.

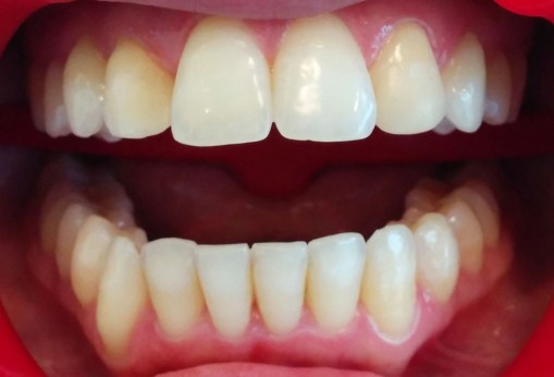
Imagen inicial. Se observa la diversidad de color, siendo los incisivos centrales más claros, y los laterales (con resina) más oscuros.

Imagen inicial. Sonrisa de la paciente.
Se observan además restos de resina compuesta del tratamiento de ortodoncia previo por lo que se pulen las superficies vestibulares para eliminarlos. Luego se efectúan el detartraje y la profilaxis de rutina y se toman las impresiones de alginato para confeccionar las cubetas estampadas.
Las cubetas fueron fabricadas en VK Import Ltda.

Modelos preparados con reservorios (resina LC Block-Out) y cubetas.
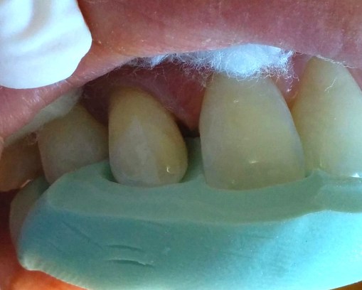
En la siguiente sesión se prueban las cubetas en boca, corroborando que su ajuste y extensión sean perfectos. Se instruye a la paciente sobre la correcta colocación del gel en las caras vestibulares de la cubeta con reservorios y se le entregan la del maxilar superior y 4 jeringas de Opalescence al 10%.
Como los incisivos centrales superiores son bastante más claros que el resto de las piezas, se decide hacer el primer control a los 3 días para ver si los continuamos blanqueando.

Registro del color inicial.
Primer control: No se observan grandes cambios en la coloración. Se interroga a la paciente acerca de la cantidad de producto utilizado y está colocando muy poca cantidad (no llegó a usar ½ jeringa en 2 noches).
Se insiste en que coloque 1/3 a ½ jeringa por aplicación.
Segundo control a los 4 días:

Blanqueamiento del maxilar superior en el segundo control. Se decide dejar de blanquear los incisivos centrales.
Se observa un resultado diverso: la generalidad de las piezas dentales ha blanqueado correctamente, pero falta aclarar más el 1/3 gingival. Los “incisivos laterales” han blanqueado poco por tres motivos:
1) Tienen una gran masa de resina en el tercio medio e incisal de la cara vestibular que no blanqueará; 2) el tercio gingival es la zona más resistente al blanqueamiento dado su gran masa de dentina y 3) son en realidad caninos (piezas que ya de por sí son más oscuras).
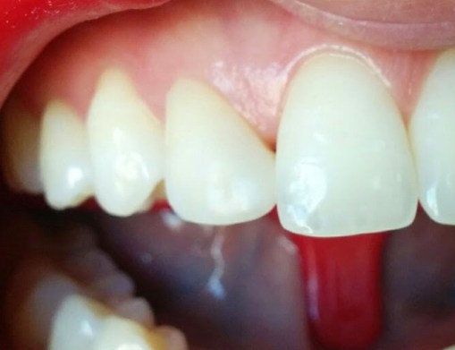
Los incisivos centrales ya han alcanzado el color deseado, por lo que se decide recortar la cubeta en esas piezas a modo de “ventana” para dejar de blanquearlos.

Recorte de la cubeta a modo de “ventana” en los incisivos centrales superiores.
Se le vuelve a preguntar a la paciente cuánto producto está utilizando y se constata que continúa colocando poca cantidad de gel blanqueador. Ha utilizado 1 jeringa y ¾ hasta ahora (en un total de 7 noches). Se vuelve a hacer énfasis en que utilice más cantidad de producto y en que no haga demasiada presión al adaptar la cubeta a los dientes para no expulsarlo de los reservorios.
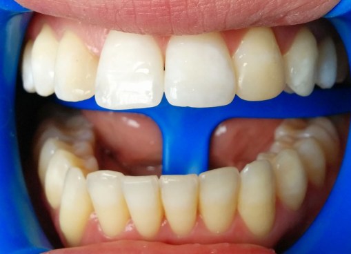
Tercer control a los 5 días: Se observa un buen resultado. Sigue habiendo una diferencia de color, fundamentalmente en el 1/3 gingival de los caninos en posición de laterales. De todas formas es difícil de determinar en este momento debido a las resinas tan extensas en vestibular. Se decide detener el tratamiento del maxilar superior y esperar a la rehidratación de los tejidos para valorar el color sin considerar los caninos.

Blanqueamiento finalizado en el maxilar superior. Se comienza con el maxilar inferior.
Se entrega la cubeta inferior y 2 jeringas de Opalescence 10%.
Al colocarse la cubeta la primera noche, la paciente sufrió de sensibilidad marcada, por lo que discontinuó el tratamiento. Se la citó para examinarla y buscar la causa de su sensibilidad. No presenta zonas de exposición dentinaria ni fisuras del esmalte. Se decidió hacer una terapia con Flor Opal (gel de fluoruro de sodio al 1,1%) en la misma cubeta – en régimen nocturno.
Luego de aplicar Flor-Opal 3 noches se continuó con el blanqueamiento hasta igualar el color del maxilar superior (5 noches). En estas fotos el esmalte está algo deshidratado y tiene manchas blanquecinas que resaltaron durante el blanqueamiento. Luego de unos días, con la rehidratación del esmalte, las manchas desaparecieron y las piezas adquirieron una tonalidad uniforme.

Control final del blanqueamiento.
El siguiente paso para resolver el caso es el recambio de las resinas de los caninos superiores. Para esto se debe respetar un compás de espera de 15 – 20 días. De esta forma las piezas dentales son capaces de eliminar los restos de peróxido de hidrógeno que comprometerían la adhesión de la resina.
Debido a las vacaciones de fin de año, la paciente concurrió 1 mes después a realizarse las restauraciones.
Primero se realizó una llave de silicona palatina de las piezas anteriores para poder mantener la forma y posición de las piezas a restaurar.
Luego se eliminó cuidadosamente la resina de las caras vestibular, mesial e incisal. Para esto nos ayudamos de la lente “Black Light” de la lámpara LED “Valo” de Ultradent, que permite detectar las capas de resina para hacer una eliminación más precisa, evitando dejar restos o desgastar tejido innecesariamente.
Se hizo una retracción gingival con hilo Ultrapak #000 embebido en ViscoStat para poder llevar las restauraciones lo más yuxtagingival posible, a modo de lograr un buen perfil de emergencia de las restauraciones. Es muy importante lavar abundantemente el ViscoStat para eliminar los residuos que afectarían la adhesión.
Luego se prepararon las piezas dentarias para la adhesión y se cargó la resina por capas incrementales con la ayuda de la llave de silicona.
Las restauraciones fueron realizadas utilizando resina Vit-l-esence A1 y PN.

Pieza 1.2 (1.3). Imagen inicial.

Luego de la remoción de la resina antigua. Retracción gingival con hilo Ultrapak #000.

Posicionamiento de la llave de silicona para el cargado de la resina en palatino.

Restauración finalizada.

Pieza 2.2 (2.3). Imagen inicial.

Luego de la remoción de la resina antigua.

Restauración finalizada.

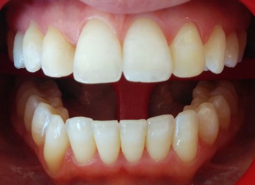
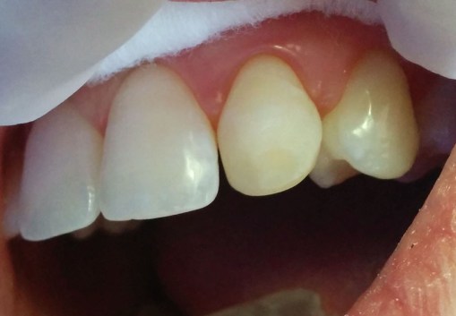
Resultado final.

Imagen final.
![]()



