Paciente de sexo femenino P.S. de 27 años de edad, una de las 3 ganadoras del Primer Concurso de Opalescence Uruguay, beneficiaria de un blanqueamiento dental domiciliario bimaxilar.

Ingreso de la paciente al consultorio.
En la primera consulta, se habló con la paciente para conocer sus deseos y expectativas del tratamiento.
Paula es modelo, por lo que se preocupa mucho por su estética en general. Relata que no se siente a gusto con el aspecto de su sonrisa debido al color “amarillento” y a sus incisivos laterales superiores “chiquitos y torcidos”. Si bien no resulta una sonrisa marcadamente inarmónica, se torna en un problema desde el momento en que la paciente se siente tan incómoda con ella, que no sonríe en las fotos, o lo hace sin mostrar sus dientes.
Lo primero que se planteó fue la posibilidad de consultar con un ortodoncista para corregir la posición de los laterales, ya que la alteración no está en el tamaño de las piezas sino en su posición (giroversión distal) e inclinación (hacia palatino). La paciente rechaza la posibilidad de la ortodoncia debido a su profesión. Se le explica que existen alternativas como los brackets cerámicos o incluso Invisalign, pero por el momento no está interesada en invertir ese tiempo y dinero.

Imagen inicial. Sonrisa de la paciente.
Se busca entonces otra alternativa no invasiva y completamente reversible si la paciente decide realizarse el tratamiento ortodóntico en un futuro: agregado de resina compuesta en forma directa, para modificar la forma y posición aparentes de los dientes.
Para evaluar qué se podría llegar a lograr mediante este método, se realizó una prueba cargando resina a mano alzada sin utilizar sistema adhesivo. Esto nos permitirá retirar fácilmente el material luego de la prueba haciéndolo “saltar” con una sonda.
El resultado de la prueba fue muy bueno y la paciente quedó muy entusiasmada con la idea.

Prueba estética con agregado de resina en forma directa.
Se planifica entonces el tratamiento blanqueador seguido de la colocación de resina compuesta en los incisivos laterales.
Previo a la realización del blanqueamiento, fue necesario efectuar un tratamiento restaurador en el sector posterior. Una vez que la cavidad oral estuvo en salud, se procedió a realizar el detartraje y profilaxis de rutina, y se tomaron las impresiones de alginato de arcada completa para la confección de las cubetas estampadas con reservorios.
Las cubetas fueron fabricadas en VK Import ltda.
Se prueban las cubetas en boca para corroborar su perfecta extensión y adaptación, y se instruye a la paciente sobre la correcta colocación del gel blanqueador en las caras vestibulares de la cubeta con reservorios.

Registro del color inicial.
Se le entrega la cubeta superior y 4 jeringas de Opalescence al 10%.
En el primer control (a los 7 días) se observa un cambio muy leve respecto al color inicial. Se interroga a la paciente acerca de la cantidad de producto colocado en la cubeta, y relata que ha utilizado solamente 1 jeringa y ¾ en toda la semana. Se repasa la técnica de colocación haciendo hincapié en que debe colocar más gel blanqueador.
Dado que la paciente se va de viaje a fin de año, se decide hacer el blanqueamiento simultáneo de ambos maxilares. La desventaja de hacer esto es que no podremos comparar la arcada superior blanqueada con la inferior sin blanquear “in situ”. Esta comparación suele ayudar al paciente a valorar los resultados del tratamiento en el “día a día”. Se le explicó esto a la paciente, quien lo comprendió perfectamente.
Se le entregan 3 jeringas más.
A los 4 días se cita a la paciente para un control. Los resultados son muy buenos pero falta todavía saturar el color e “iluminar” un poco más la sonrisa, sobre todo en el maxilar inferior.

Control del blanqueamiento. Aún falta “iluminar” la sonrisa.
La paciente se va de viaje, por lo que se le indica continuar con el blanqueamiento durante 4 noches y se la monitorea telefónicamente.
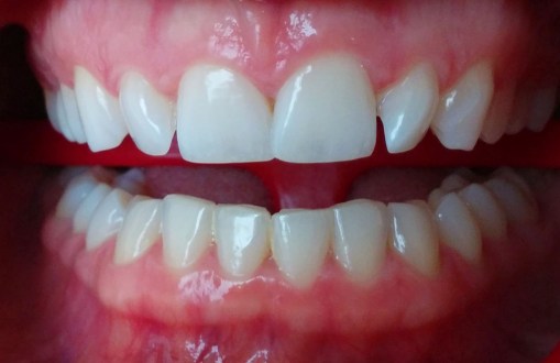
En el siguiente control, al mes y medio, se observa un excelente resultado del tratamiento blanqueador.
Dado que ya ha pasado suficiente tiempo desde que finalizó el blanqueamiento, se decide realizar la reconstrucción de los incisivos laterales.
Las restauraciones fueron realizadas con resina compuesta Vit-l-esence color A1 y PN en forma directa y a mano alzada. Como preparación dentaria se efectuó simplemente un ligero asperizado de la superficie del esmalte con discos Super Snap de Shofu de grano grueso (negro). La preparación dentaria para la adhesión se realizó en forma convencional y luego se cargó la resina por capas.

Luego del agregado de resina en forma directa, previo al pulido.

Imagen final. Luego de la terminación y pulido de las resinas.

Imagen final. Sonrisa de la paciente.

Imagen final.
![]()



