Cómo eliminar el “Halo Oscuro” – Parte 2

Parte 1-20

pie-02

Resolución de un Caso Clínico

Se presenta a continuación una secuencia clínica:

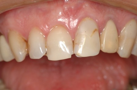
Figura 28: Caso inicial.

Figura 28: Caso inicial.

Figura 29: Caso inicial.

Figura 29: Caso inicial.

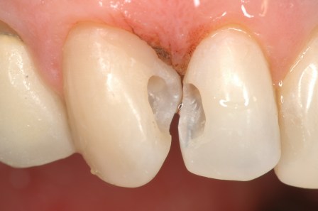
Figura 30: Eliminación de restauraciones filtradas y caries aparente.

Figura 30: Eliminación de restauraciones filtradas y caries aparente.

Figura 31: Eliminación de restauraciones filtradas y caries aparente.

Figura 31: Eliminación de restauraciones filtradas y caries aparente.

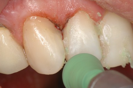
Figura 32: Manejo de tejidos: eliminación del sangrado y del fluido gingival.

Figura 32: Manejo de tejidos: eliminación del sangrado y del fluido gingival.

fig 33

Figura 33: Pulido de esmalte.

fig 34

Figura 34: Previo a la aislación absoluta.

fig 35

Figura 35: Test colorimétrico.

fig 36

Figura 36: Eliminación final de tejido cariado.

Figura 37: Desinfección de la cavidad: Gluconato de Clorhexidina al 2%.

Figura 37: Desinfección de la cavidad: gluconato de clorhexidina al 2%.

Figura 38: Colocación de Ca (OH)2.

Figura 38:  colocación de Ca (OH)2.

Figura 39: Grabado Ácido fosfórico al 35%.

Figura 39: Grabado con ácido fosfórico al 35%.

Figura 40: Nueva Desinfección.

Figura 40: nueva desinfección.

fig 41

Figura 41: colocación del primer y adhesivo.

fig 42

Figura 42:  fotopolimerización.

fig 43

Figura 43: “espejo” de opaco blanco.

Figura 44: “Espejo” de opaco blanco.

Figura 44: “espejo” de opaco blanco.

Figura 45: "Equilibrando la intensidad". Se usa A5-

Figura 45: «equilibrando la intensidad». Se utiliza A5 (como en la figura 23, parte 1).

Figura 46: "Equilibrando la intensidad". Se usa A5-

Figura 46: «equilibrando la intensidad». Refinado de la capa de A5.

fig 47

Figura 47: corroboración del color de la resina (la pieza dentaria está deshidratada).

Figura 48: Colocación de Dentina A2.

Figura 48: colocación de dentina A2 (como en la figura 24, parte 1).

fig 49

Figura 49: colocación de esmalte difusor de luz (como en la fig. 25, parte 1).

fig 50

Figura 50: colocación de esmalte difusor de luz.

Figura 51: Corroboración del color de la Resina (la pieza dentaria está deshidratada).

Figura 51: corroboración del color de la resina (la pieza dentaria está deshidratada).

fig 52

Figura 52:  pulido.

fig 53

Figura 53: pulido.

fig 54

Figura 54: pulido.

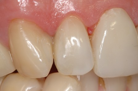
Figura 55: Caso final.

Figura 55: caso final.

Figura 56: Caso final.

Figura 56: caso final.

Conclusiones

El «Halo Oscuro» es un problema clínico que se presenta en un amplio porcentaje de casos, y va en detrimento de la estética que se quiere lograr.

Al estudiar el comportamiento de luz en los cuerpos, y en especial en la estructura dentaria, sumada a la restauración en ella, se pudo encontrar la causa de ese efecto, que está en la propiedad óptica “Interferencia Destructiva de la luz”.

Una vez comprendida esta propiedad, se buscaron procedimientos clínicos para evitar o minimizar su manifestación.
Estos procedimientos se basaron en :
A) Una estratificación diferente de la restauración de resina compuesta directa, incluyendo un opaco que bloqueara totalmente la luz y la reflejara hacia la zona afectada del esmalte (“espejo interno”).
B) La elección de un esmalte difusor que permitiera iluminar la zona oscura, desviando haces de luz hacia la zona adyacente.
Un concepto que se agrega aquí es del “equilibrado de la intensidad” que es muy útil para lograr la saturación adecuada.

Se concluye que el objetivo de evitar la aparición del «Halo Oscuro» es posible, utilizando las técnicas anteriormente descriptas, basadas en el estudio de las causas que lo provocan: la interferencia destructiva de la luz.

El razonamiento, una y otra vez sometido a análisis, ha dejado al autor la convicción que el camino es, cuanto menos, correcto.
La experiencia clínica protocolizada aquí, es aún insuficiente, pero alentadora.

Caso clínico, cortesía del Dr. Alvaro Heller – Montevideo – Uruguay

Sobre el autor:

  • Docente de la Escuela de Perfeccionamiento (Post Grado) Odontología Restauradora, Asociación Brasilera de Odontología, Porto Alegre, Brasil.
  • Docente del Diplomado de Estética e Integrante del Consejo Asesor Superior Internacional de la Academia de Estética y Cosmética Dento-Facial de Chile.
  • Profesor e Integrante del Consejo Asesor Internacional de la Academia Internacional de Odontología Integral (AIOI).
Si Ud. desea contribuir con un caso clínico, por favor, comuníquese con nosotros.

O

pie-02

Referencias

  • Born M, Wolf E (1999) Principles of Optics: Electromagnetic Theory of Propagation, Interference and Diffraction of Light, 7th ed.
  • Bruhat G (2005) Optique, 6me. ed., cap. 4, 6, 7 & 8.
  • Catalá J (1979) Física General, cap. 26, p.414
  • Goldstein R (1998) Esthetics in Dentistry, 2nd ed., ch 10.
  • Hecht E (2001) Optics, 4th ed., ch.7
  • Holton G, Brush S (1973) Introduction to Concepts and Theories in Physical Science, ch. 23.
  • Magne P, Belser U (2002) Bonded Porcelain Restoration in the Anterior Dentition. A Biomimetic Approach, ch. 1.
  • Novotny L, Hecht B (2006) Principles of Nano-Optics, ch. 3 & 8.
  • Preston JD (1980) Color Science and Dental Art.
  • Sears F, Zemansky M (1999) University Physics, 10th ed., ch. 10.
  • Shärer P, Rinn LA, Kopp FR (1991) Principios Estéticos en la Odontología Retaurativa, cap. 1.
  • Tipler P (2003) Physics for Scientists and Engineers, 6th ed., ch. 26.
  • Touatí B, Miara P, Nathanson D (1999) Esthetic Dentistry and Ceramic Restorations, ch. 4 & 5.

O

pie-02

Actas Odontológicas Vol IV Número 2, Julio-Diciembre 2007.
Publicado con autorización de la Facultad de Odontología de la Universidad Católica.
Se han agregado más fotos proporcionadas por el autor.

1 Response to Cómo eliminar el “Halo Oscuro” – Parte 2

  1. Avatar de melida castañeda melida castañeda dice:

    GRACIAS DR. POR COMPARTIR SUS CONOCIMIENTOS¡ QUE TECNICA TAN EXCELENTE.

Gracias por su comentario!