Tratamiento de Microabrasión y Blanqueamiento
con Opalustre y Opalescence PF al 10%
La resolución de este caso fue gratificante para la paciente y el profesional tratante, pues debido a la fluorosis la joven era blanco de burlas en el colegio. La paciente tenía 14 años y un enorme complejo que no le permitía sonreír.
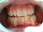
Aspecto clínico previo (foto 1).

Se recomienda un tratamiento con Opalustre para remover las decoloraciones superficiales y luego proseguir con un blanqueamiento con Opalescence.
Debido a la juventud de la paciente, se decide efectuar el tratamiento en forma muy conservadora, espaciando la microabrasión con Opalustre. Este producto será aplicado durante 30 segundos en cada pieza, con movimientos rotatorios suaves y poca presión, en diferentes citas:
11.12.07 – Se aplica Opalustre en sector superior anterior
14.12.07 – Se aplica Opalustre en sector superior lateral
17.12.07 – Se aplica Opalustre en sector superior anterior
20.12.07 – Se aplica Opalustre en sector superior lateral
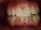
Aspecto (foto2) después de 4 citas.

Las decoloraciones por fluorosis se han disimulado perfectamente. Se realiza el mismo procedimiento en el sector inferior.
Se decide esperar 20 días para comenzar con el blanqueamiento, para evitar una eventual aparición de sensibilidad.
Debido a la juventud de la paciente, la concentración recomendada es Opalescence PF al 10%.
09.01.08 – Tono inicial en maxilar superior: B3.
Se entrega cubeta superior para blanqueamiento y dos jeringas al 10%.
11.01.08 – Control y toma de color en superior: B3 – se continúa con el tratamiento.
05.03.08 – Se entregan dos jeringas más al 10%
13.03.08 – Control y toma de color: A1
05.06.08 – Se aplica Opalustre en sector inferior.
17.06.08 – Control – Entrega de 2 jeringas al 10%
15.07.08 – Se entregan dos jeringas más al 10%
10.06.09 – Control y toma de color: mantiene A1.
El promedio fue entre 2-3 noches de aplicación por jeringa (entre 12 y 15 noches por maxilar).
Caso clínico terminado (foto 3).

(La diferencia que se aprecia entre ambos maxilares es por la luz en la foto)
La paciente estaba tan contenta, que ¡recién volvió para la foto final un año más tarde!
Caso clínico, cortesía del Dr. Raúl Peregalli – San Ramón – Uruguay
Si Ud. desea comunicarse con el Dr. Peregalli por tratamientos, consultas o datos adicionales, comuníquese con nosotros y le proporcionaremos sus datos.





HE VISTO EN ARTICULOS QUE EXISTE REMOVEDOR DE MANCHAS BLANCAS Y MARRONES: TANTO UN PRODUCTO QUE SE LLAMA ICON O ANTIVET. USTEDES MANEJAN ESOS PRODUCTOS ? ENTIENDO QUE EL ICON POR EJEMPLO ES: AC FLUORHIDRICO MAS ETANOL MAS RESINA LIQUIDA.
Buen día, manejamos Opalustre de Ultradent, el detallado en el caso clínico desde el que nos consultas.
Aquí puedes ver la info: https://vkimport.com/productos/blanqueamiento-opalescence/auxiliares-blanqueamiento/opalustre/
Saludos cordiales.
En caso que se realice primero el blanqueamiento que tiempo se debe esperar para realizar la microabrasion
Hola Adriana, no es necesario esperar para aplicar Opalustre luego del blanqueamiento.
Saludos cordiales,
Me interesa
Como puedo ubicar a los que venden .los productos .
Estoy interesada..
Estimada Dolores, aquí puedes ver como conseguir los productos de Ultradent en Perú, el distribuidor es Dent Import: https://intl.ultradent.com/es-la/distribuidores/Pages/default.aspx
Saludos cordiales!
Estoy revisando sus casos clinicos y la información porque tengo un caso semejante y la verdad no quisiera hacer ceramicas pues sus dientes tienen una forma excepcional me gustaría probar Oplaustre y ver que tanto nos puede ayudar, me podria mandar datos de algun distribuidor en Puebla, México.
Estimado Arturo, aquí tienes los datos del distribuidor en México: https://www.ultradent.com/en-us/resources/international-resources/Pages/distributor-detail.aspx?cid=mx
Saludos cordiales.
El opalustre se le puede aplicar a una niña de 10 años con fluorosis cafés
Estimada Ivett,
Si, en forma conservadora. Mira aquí: https://vkimport.com/casos-clinicos/caso-clinico-pediatrico-decoloraciones-por-hierro-y-microabrasion/
Saludos cordiales!
Hola me intereso como trataron estos casos ya q tengo algunos en el consultorio, por lo que me gustaría saber si en México D.F. Puedo adquirir estos productos y en que sitió saludos
Estimada Angélica,
Hemos enviado sus datos al distribuidor en México para que la contacte a la brevedad.
Saludos cordiales.
Hola , escribo desde Monterrey Nuevo León me gustaría saber si tienen más casos clínicos publicados y el depósito dental de Monterrey que cuenta con el producto.
Gracias.
Estimado Doctor García Flores:
Nos visitan muchos profesionales de México, que lindo!
Algún día visitaré su país 🙂
Los casos clínicos que tenemos son los que nos proporcionan amablemente nuestros clientes, consideramos que es bueno que otros profesionales vean que no son sólo casos de «libro», sino que los casos cotidianos pueden resolverse bien si se sigue la técnica correcta.
Obviamente, si algún profesional de otro país desea enviarnos un caso, será muy bienvenido!
Yo le estaré enviando enseguida un correo electrónico a su dirección con la información que solicita.
Si desea suscribirse, puede hacerlo. De esa forma, en cuanto algún colega nos ofrezca alguna publicación, Ud. lo recibirá.
Le saludo muy cordialmente!
hola la verdad me interesa conocer el producto, con que se proteger la encía para no irritarla, el blanquiamiento es opalecence de q color y como es su aplicación la verdad soy de un estado donde existe bastante flurosis y me gustaría ayudar de esta manera a los pacientes y no con composites.
antemano gracias , espero su respuesta.
Estimada Doctora:
Un gusto recibir consultas desde México.
Por favor revise los vínculos que le brindo a continuación:
Todo sobre blanqueamiento dental: https://vkimport.wordpress.com/productos/blanqueamiento-opalescence/
Uso de Opalustre e instrucciones: https://vkimport.wordpress.com/productos/blanqueamiento-opalescence/auxiliares-blanqueamiento/opalustre/
Caso clínico con protección gingival: https://vkimport.wordpress.com/casos-clinicos/caso-clinico-pediatrico-decoloraciones-por-hierro-y-microabrasion/
Además le enviaré un correo electrónico dándole la dirección del representante en México para que Ud.
pueda comunicarse directamente y obtener un servicio personalizado.
Saludos muy cordiales!