Higiene Interproximal

- El diseño con punta fina permite un fácil acceso, incluso en contactos estrechos.
- No se astilla ni se rompe.
- Superficie con textura para una mejor higiene.
- Balance perfecto entre flexibilidad y rigidez.
- Masajea el tejido interproximal mientras remueve residuos y placa.
- Disponibles en práctico dispensador plástico conteniendo 32 unidades.

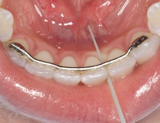
Utilice Opalpix para higienizar alrededor y debajo de retenedores adheridos.





