
BERNER UNI PREP SET A y B,
Sets de instrumentos de alta calidad
para una preparación ergonómica de los dientes.
Proporciona:
- Lisura óptima de superficies
- Márgenes cavitarios definidos
- Ángulos redondeados debido a un diseño especial de los instrumentos de terminación.
- Las piedras negras tienen indicador del desgaste por cambio de color del negro al gris del diamante superficial.
- Los instrumentos A1-A6 están indicados para preparaciones de inlays/onlays. A5-A12 están indicados para la preparación de coronas.

Foto de piedras del Set A

Foto de piedras del Set B
1. Apertura (A1)
Para la apertura de fisuras, fositas y cajas proximales. Forma cónica, largo 4 mm, tamaño del grano: 90 mµ. Indicación de desgaste: el instrumento cambia su color negro por el gris, sobre todo en su punta.

2. Extensión (A2)
Extensión de las cajas proximales (sin lesionar el esmalte del diente vecino) con la piedra de diamante en llama fina marcada con un anillo de color amarillo que indica que el tamaño del grano de diamante es de 40 µm.
3. Terminación (A3)
… de las paredes internas de la cavidad con la piedra troncocónica larga (anillo amarillo: 40 µm) con un ángulo en la punta ligeramente biselado. Usar velocidades menores para los pasos 3, 4 y 5.

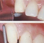
Foto 2 y 3: la cavidad se rellenó con ionómero
después de la preparación primaria y de la
eliminación de caries.
4. Contorno y biselado (A4)
… del margen gingival con la punta de la piedra en forma de torpedo de 40 µm (aro amarillo).

Foto 4
5. Terminación (A5)
… de todo el margen cavitario con la piedra A5 que tiene la misma forma que la anterior, pero es de grano de diamante más fino: 15 µm (anillo rojo en el vástago).

Foto 5
6. Reducción cuspídea (A6)
Para onlays, seguidos por la forma idéntica para terminación A12. NOTA: en caso de dientes pequeños, así como en caso de dientes que permitan sólo una preparación muy limitada, puede que algunos de estos instrumentos parezcan grandes. Los instrumentos correspondientes del Composhape Set son los más convenientes para ello.

Foto 6
Preparación de Dientes Vitales (A5 a A12)
- Gran retención de las incrustaciones debido a la angulación de 6 grados de la piedra.
- Margen de la preparación definido.
- Hombros con superficies lisas.
- Indicación del desgaste por cambio de color de la cubierta de diamante
1.1 Tallados guía
Se realizan con los instrumentos A7 o A8 en las superficies vestibulares, linguales y oclusales, ayudando a mantener la cantidad correcta de sustancia dentaria y a determinar cuánta debe ser removida.
1.2 Preparación del hombro
… en ángulo recto con respecto al eje longitudinal del diente, usando el instrumento A7 ó A8, ambos con una punta inactiva y lisa.

Fotos 7 y 8
1.3 Reducción
… de la superficie oclusal o del borde incisal con los instrumentos A6, A7 ó A8, de acuerdo a los tallados guía hechos en la etapa anterior. 2. Reducción … de la superficie lingual (u oclusal) con el instrumento A6 (forma de pimpollo, grano de diamante 90 µm, con indicador de desgaste).

Fotos 9 y 10
3. Disminución de la altura del hombro
… con la piedra A9 con parte activa sólo en la punta de la piedra.
4.1 Remodelado lateral y terminación
… de la preparación, incluido el hombro, con el instrumento A10 ó A3 de 40 µm y ángulo de borde redondeado. Se puede alisar manteniendo la guía de las superficies y los ángulos agudos debido a la cubierta de diamante de grano fino.

Fotos 11 y 12
4.2 Terminación oclusal
… con el instrumento A12 en forma de pimpollo de 40 µm.
5. Biselado
del hombro con el instrumento en forma de torpedo (A11 ó A4 – anillo amarillo: 40 µm), manteniéndolo paralelo al eje longitudinal del diente.

Fotos 13 y 14
El Set B contiene piedras de grano muy grueso (150 um – aro verde) para restauraciones que requieran de mayor desgaste dentario.
Las piedras Intensiv tienen duración incomparable.
Incluso las de grano más fino (Composhape Set) llegan a durar
¡más de 2 años!






hola. el precio es por ambos sets? Gracias
Hola Lucía,
El precio de oferta es por cada set.
Saludos cordiales!
muy interesante el detalle de cada instrumento y muy ilustrativo.Gracias
Gracias a ti por el constante apoyo!