(Esta misma técnica puede efectuarse con Vit-l-escence)
Carilla directa de resina compuesta sobre incisivo central severamente manchado
Con respecto a la historia de este caso clínico:
En el 2005 hice el blanqueamiento de la pieza no vital con Opalescence Boost (2 citas, 3 aplicaciones de 15 minutos en cada una). Los resultados fueron muy buenos, pero en el 2010 la paciente regresó con el diente todavía más oscuro que cuando hicimos el blanqueamiento por primera vez.
Lo que me decidió a restaurar mediante una carilla fue que la pieza recidivó en un tiempo muy corto, y la posibilidad de rehacer toda la preparación coronaria cada 4 ó 5 años no me gusta, ya que siempre se corre el riesgo de desgastar mucha sustancia sana. Además, la repetición del blanqueamiento interno con peróxidos tan concentrados en períodos cortos de 4 ó 5 años puede crear un riesgo innecesario de reabsorción interna.
Si bien las carillas también requieren de un tallado, pasados tres años estará exactamente igual al día en que la hice, necesitando solamente algo de pulido anual.
•
Dr. Rafael Beolchi, DDS

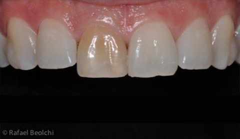
Pieza 11, oscurecida, resistente al blanqueamiento interno. Indicación para carilla directa en resina compuesta.

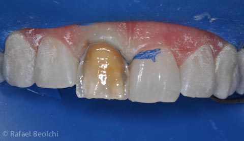
Inserción de hilo retractor Utrapak #1 y preparación para carilla directa.

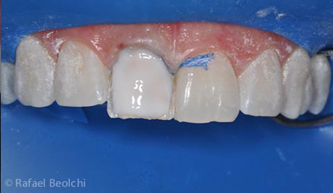
Aplicación de primera capa de resina Amelogen Plus OW (Opaque White).

Aplicación de Amelogen Plus tono A3.

Aplicación de Amelogen Plus tono A2.

Aplicación de Amelogen Plus tono EN.

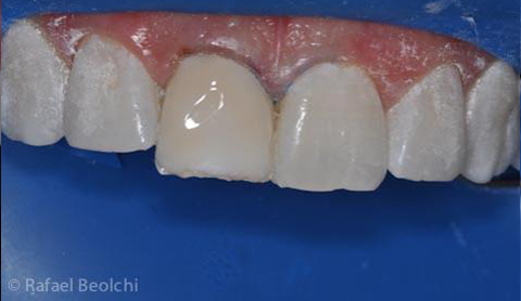
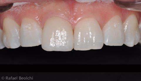
Aspecto final tras la terminación y el pulido con el sistema de pulido Jiffy.

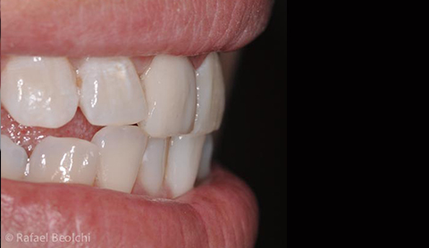
Vista lateral del caso finalizado. Note la armonía de la restauración con los tejidos naturales.
Este caso clínico se publica gracias a la gentileza del Dr. Rafael Beolchi, DDS.
Currículum:
- Cirujano Dentista (DDS) – Facultad de Odontologia de la Universidade de São Paulo – São Paulo, SP – BRASIL (2000).
- Clínica privada en Mairiporã, San Pablo, Brasil, con énfasis en rehabilitación oral, cuidados restauradores simples y complejos y odontología estética.
- Cursando Maestría en Ciencias (Biomateriales) en Instituto de Pesquisas Energéticas e Nucleares, Universidade de São Paulo, sobre materiales dentales, tests, investigaciones y evaluación de productos.
- Profesor coordinador del curso de Odontologia Estética de la APCD Núcleo Atibaia, con foco en restauraciones estéticas anteriores y posteriores con resinas compuestas.
- Dictante en congresos y sociedades odontológicas.
Si Ud. desea contribuir con un caso clínico, por favor, comuníquese con nosotros.
![]()








muy buen caso!!! igualmente he tenido excelente resultado en casos similares con el endo opalescense en blanqueamiento interno pero es una excelente solucion.
Gracias, Iliana!
Sabes que el Dr. Beolchi informó que en este caso el blanqueamiento interno no respondió. Por eso optó por esta indicación.
Le voy a pedir que nos explique qué fue lo que sucedió con el blanqueamiento interno, quizás lo escriba aquí.
Cariños!
Karen
Iliana, ya incluimos la explicación del Dr. Beolchi. Abrazo!