Presentamos 2 casos clínicos de pacientes tratados ortodónticamente con sistema Damon y su posterior etapa de blanqueamiento en la modalidad domiciliario con cubetas, utilizando en ambos casos el producto Opalescence de Ultradent.
La cantidad de aplicaciones que estimamos fue entre 3 y 4 por jeringa de 1.2 ml y por arco dentario, variable según la presencia de restauraciones coronarias, ausencia de piezas y la cantidad de producto dosificado por cada paciente.
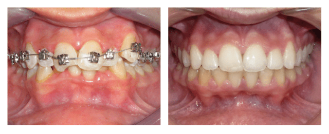
S. I. de 13 años
Nos demuestra que se puede realizar perfectamente un blanqueamiento en adolescentes, cumpliendo mínimas “precauciones”.
Este caso fue tratado con 2 jeringas de Opalescence al 10%, solamente en el arco dentario superior. Aún no ha sido realizado el blanqueamiento inferior. Esta situación nos parece interesante para que los pacientes puedan evaluar por sí mismos, el efecto conseguido por la simple comparación entre sus arcadas dentarias superior e inferior, lo cual es también muy estimulante para ellos.
La única indicación de nuestra parte fue que las aplicaciones fueran hechas día por medio, y que si le daba sensibilidad, interrumpiera el tratamiento y nos avisara inmediatamente. El paciente manifestó poca sensibilidad durante el mismo y realizó entre 7 y 8 aplicaciones en un período aproximado a 15 días.

D. V. de 24 años
Es también muy valioso para observar cómo los grandes cambios estéticos faciales obtenidos en este caso, se ven «potenciados» con un blanqueamiento adecuado.
La secuencia del mismo fue la siguiente:
- Etapa 1: 2 jeringas de Opalescence al 10% – 7 a 8 aplicaciones solamente arco dentario superior.
- Etapa 2: Realizada a los 11 meses – 1 jeringa de Opalescence al 15% – 4 aplicaciones sólo arco dentario superior.
- Etapa 3: Realizada a los 9 meses – 2 jeringas de Opalescence al 15% – 5 aplicaciones en el arco dentario inferior, 3 aplicaciones en el arco dentario superior.
La paciente no manifestó sensibilidad durante el tratamiento en las diferentes etapas.

Casos clínicos gentileza del Dr. Gustavo Arjona: http://drgustavoarjona.blogspot.com/
Si Ud. desea contribuir con un caso clínico, por favor, comuníquese con nosotros.





ola otraves!!! una consulta nuevamente, quisiera saber si se puede realizar blanqueamiento casero si se tiene caries todavia no tratadas i a medio tratamiento?? cuales son las consecuencias… ahhh i tambien si esta solo con pasta provisional?? graxias=)
Buenos días Rebeca,
Por favor lee acá: https://vkimport.wordpress.com/instrucciones-de-uso/blanqueamiento/opalescence-pf-10-15-20-y-35-instrucciones-para-el-profesional/
La boca debe estar 100% sana. Sino no tolerarás el producto y te dolerá.
Saludos cordiales!
GRACIAS POR LA PRESENTACION DE CASOS ,MUY INTERESANTE
Esperemos que más profesionales se animen a compartir!
Gracias Sandra!
Saludos, Karen
Muy interesante y a tener en cuenta !!! EXCELENTE RESULTADO … me llama la atención que siendo casos de arcadas completas, una jeringa rinda xa 4 aplicaciones…y no me parecen tan pequeño el tamaño de las mismas
FELICITACIONES Y GRACIAS X EL APORTE
Verdad que si, Gabriela? Son casos realmente buenos!
Es un excelente aporte del Dr. Gustavo Arjona y me encanta que te haya permitido reevaluar la cantidad de Opalescence que debe aplicarse.
El rendimiento de las jeringas está directamente relacionado con el tamaño de los dientes y la cantidad que se coloca. Pero generalmente alcanza con 1/4 a 1/3 de jeringa por aplicación. Además, como Opalescence es TAN viscoso y pegajoso, no se pierde y actúa como debe. Permanece en la cubeta, y hace su trabajo.
Muchas experiencias en la vida nos enseñan que «cantidad» no es necesariamente «calidad», ¿verdad?
Y ello se aplica en este caso: Opalescence actúa mejor y más rápido…y con la 1/4 parte de producto que requieren «otros» blanqueadores.
Todos los productos de Ultradent están pensados para lograr máxima eficacia con mínimas cantidades (a veces alcanza con 1/4 de gota, como es el caso de UltraBlend plus o con cubrir las fibras de la punta, como en el caso del sellante de fosas y fisuras, UltraSeal XT plus).
Me entusiasmé con la explicación…
Un beso! – Karen
MUY BUENO!!!!!!!!!A seguir presentando casos clínicos para compartir las distintas experiencias de los casos de todos los días!!
Gracias!
Gracias Cecilia!!
Ojalá que si, que muchos más profesionales se animen y compartan sus casos,
y no sólo de blanqueamiento!!
Un beso!
Muy bien presentado el caso clínico.
Siempre se aprende algo nuevo.
Gracias!
Están muy buenos ambos, verdad? 🙂
Gracias Alicia!