Caso Clínico Pediátrico – Decoloraciones por hierro y Microabrasión con Opalustre

Juan Martín – paciente de 10 años.

Decoloraciones causadas por hierro. A los 2 años se le administró hierro durante 9 meses.

Las decoloraciones causadas por hierro generalmente son tan difíciles de tratar como las de tetraciclina. Toma un tiempo largo (de 6 a 12 meses) y pueden recidivar (por lo que generalmente deberían retratarse esporádicamente).  En este caso, las tinciones son muy leves.

“¿Tendrá éxito algún tratamiento para blanquearlos?” – es la consulta. 

Estas manchas son tratables con Opalustre. De ser necesario, puede utilizarse Opalescence al 10% después.

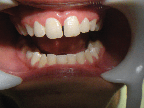
Junio, 2011 – La profesional prepara a Juan Martín para el procedimiento. 

Fotos 1 y 2: Colocación de retractores de mejilla y algodones para obtener un campo seco y sellar la encía con OpalDam.

Fotos 3 y 4: El sellado con OpalDam asegura que no habrá filtración de Opalustre a través de la goma dique. En niños, es una protección adicional útil, ya que a veces es posible que la copa de goma se enrede en la goma dique.

Fotos 5 y 6: Le cubre la cara para protegerlo de posibles salpicaduras. El tratamiento consiste de 5 aplicaciones de Opalustre (30 segundos por pieza). No se efectúa presión; Opalustre trabaja en forma química (ácido clorhídrico) y mecánica (partículas de carburo de silicio). El cepillito en el interior de la copa OpalCup Bristle permite un contacto íntimo entre Opalustre y el diente.

Es muy interesante ver (en la foto 6 de la derecha) como la profesional colocó Opalustre sobre el guante, para recoger producto desde allí. “Uso el dorso de la mano enguantada como la paleta de un pintor para dispensar Opalustre y cargarlo desde ahí, evitando así salpicar con un producto peligroso para los ojos y la piel además de evitar la contaminación cruzada”.

Aspecto de las piezas afectadas después de la microabrasión y tratamiento con Flor Opal, aunque no tenía sensibilidad ninguna. Flor Opal ayuda en la remineralización del esmalte.

La madre del niño autoriza la publicación de las fotografías y el comentario de la profesional es: “¡La verdad que estamos encantados y él sonríe como nunca! ¡En algunas fotos se hace el loco pero de contento!”

CONTROL – 5 MESES DESPUÉS: Se cita al paciente para nuevas aplicaciones de Opalustre o para evaluar el uso de Opalescence. Para asombro de la profesional, las manchas han desaparecido por completo. El cambio es significativo y sorprendente.

No se efectuará tratamiento con Opalescence pues no es necesario.

Entre el 11 y el 21 tiene un leve remanente de decoloración por hierro. Estos detalles pueden trabajarse con Opalustre y el cepillito Starbrush (antes ICB) o – en su defecto – con un escarbadientes. Se ha citado al paciente para eliminar esas pequeñas imperfecciones que sólo se ven con este aumento. ¡A simple vista son casi imperceptibles!

En la siguiente cita (23.3.12) la profesional prepara al paciente como se mostró anteriormente.

Los productos a utilizar son: OpalDam, Opalustre y Flor-Opal.

En esta oportunidad utiliza el cepillo Starbrush para alcanzar la zona interdental.

Se insiste con un escarbadientes para asegurar la acción de Opalustre donde es necesario.

Y luego continúa insistiendo en la zona, sin efectuar presión, con el cepillo Starbrush.

Caso clínico finalizado.

Cita de control – Marzo 2013.

Control Marzo 2013-1

Control Marzo 2013-2

No hay recidiva de la decoloración por hierro. La tonalidad permanece estable.

Caso clínico, cortesía de la Dra. Cecilia Abaracón – Young – Rio Negro
Si Ud. desea comunicarse con la Dra. Abaracón por tratamientos, consultas o datos adicionales, comuníquese con nosotros y le proporcionaremos sus datos.

Si Ud. desea contribuir con un caso clínico, por favor, comuníquese con nosotros.

31 Responses to Caso Clínico Pediátrico – Decoloraciones por hierro y Microabrasión con Opalustre

  1. Avatar de Angela Monroy Angela Monroy dice:

    Me parece excelente el producto! … voy a comenzar a usarlo pero no tengo idea de cuánto se puede cobrar al paciente por este procedimiento.. alguna sugerencia? Gracias!

  2. Avatar de francisco martinez francisco martinez dice:

    AL MOMENTO DE TERMINAR LA MICROABRACION SELLASTE CON ALGUN MATERIAL ALGUN SELLADOR PARA ESMALTE

  3. «Si no actúas como piensas, vas a terminar pensando como actúas» – Blaise Pascal
    Bien Pensado, Bien Planificado, Bien ejecutado…

  4. Avatar de cecilia abaracon cecilia abaracon dice:

    Hola!!
    Si lo documentaste de alguna forma estaría bueno poder verlo. A mi me encantó este caso ya que con un tratamiento sencillo, los debidos cuidados y éstos productos Ultradent fue muy sencillo y accesible!!
    Tengo fotos de otro caso muy complejo para iniciar y tal vez las suba para discutir entre todos si les parece.

    Gracias por tu comentario.

Gracias por su comentario!