Paciente M.J.F. de 18 años.
Hace 11 años le fue realizado un tratamiento de ortopedia funcional presentando agenecia de segundos premolares inferiores donde de futuro se colocarán implantes. La paciente nos manifestó en varias oportunidades, que se sentía un poco “inhibida” por el “color de sus dientes”.

En agosto de 2011 se le efectuó un blanqueamiento del arco dentario superior en régimen domiciliario nocturno (2 jeringas de Opalescence al 10% – rindió unas 7 – 8 aplicaciones). No hubo sensibilidad durante el tratamiento.
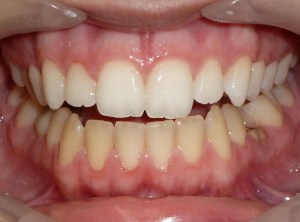
La siguiente fotografía es actual(noviembre de 2012) luego de 15 meses de realizado el mismo, donde comprobamos la estabilidad del efecto conseguido.


Antes de un tratamiento de ortodoncia los pacientes no tienen una sonrisa «espontánea» y plena, y lo mismo acontece con el blanqueamiento. Luego de esos tratamientos, las personas se «liberan» y su sonrisa cambia radicalmente volviéndose mucho más natural (como en este caso). Inclusive ciertas veces nos manifiestan muy entusiasmados: ”…ahora me vivo riendo…”
En diferente grado, esto lo percibimos siempre en TODOS los pacientes….. es así….. ¡y es lo reconfortante de nuestro «trabajo»……!!!!.
Este caso clínico se publica gracias a la gentileza del Dr. Gustavo Arjona: http://drgustavoarjona.blogspot.com/
Si Ud. desea contribuir con un caso clínico, por favor, comuníquese con nosotros.




